กระดานสุขภาพ
| แผลในช่องปากเรื้อรัง เกิน3สัปดาห์เป็นทุกเดือน | |
|---|---|
|
14 พฤษภาคม 2559 15:25:46 #1 เรียน คุณหมอครับ สวัสดีครับคุณหมอ ผมเริ่มสังเกตช่องปากของตัวว่าเริ่มเป็นแผลบ่อยและนาน เป็นทุกเดือนเป็นครั้งนึงเป็นนานเกิน3สัปดาห์บางครั้งเป็นเดือนกว่า กว่าแผลจะหายพอแผลหายได้ไม่นานเกินสัปดาห์แผลที่ใหม่ก็เกิดเลยลองสังเปลี่ยนพฤติกรรมการใช้ชีวิตของเปลี่ยนแปรงสีฟันขนอ่อนๆ ลองเปลี่ยนยาสีฟัน ลองเลี่ยงของร้อน ปรับเวลานอนให้นอนไวขึ้นไม่ดึกแต่ก็ยังเป็นอยู่ทุกเดือน
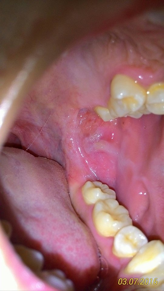
อาการ -เจ็บที่แผล กลื่นน้ำลายเจ็บคอ กลื่นอาหารยาก -เป็นนานเกิน3สัปดาห์ เป็นแล้วกลับมาเป็นใหม่แบบเปลี่ยนที่ -เป็นแผลในช่องปากบ่อย (แผลเก่าหายได้ไม่นานสัปดาห์ต่อมาเป็นอีก) -ลักษณะของแผลเป็นวงกลมเล็กในวันแรกๆ และขยายใหญ่ขึ้น สีของแผลเป็นสี ขาว-เหลือง -ปากมีเส้นสีขาวตรงกระพุ้งแก้มเป็นมาหลายปีไม่หาย กระพุ้งแก้มเป็นหลุมของแผลเก่าที่เนื้อยังไม่เรียบเสมอกัน ขอโทษด้วยครับคุณหมอผมพยายามนึกอาการและเรียบเรียงให้คุณหมอ http://haamor.com/media/images/webboardpics/8c36e-28431.jpg http://haamor.com/media/images/webboardpics/8c36e-28431-2.jpg http://haamor.com/media/images/webboardpics/8c36e-28431-3.jpg คุณหมอพอจะวินิจฉัยเบื้องต้นได้มั้ยครับ ว่าเกิดจากอะไร ผมกังวลและกลัวจะเป็นไรร้ายแรงมากๆครับ ขอบคุณครับคุณหมอ สวัสดีครับ
|
|
| อายุ: 23 ปี เพศ: M น้ำหนัก: 44 กก. ส่วนสูง: 165ซม. ดัชนีมวลกาย : 16.16 (ค่ามาตรฐานคนเอเชีย=18.5-22.9) | |
Anonymous |
14 พฤษภาคม 2559 15:54:56 #2
รูปภาพเพิ่มเติมครับ แต่ละรูปเป็นแผลคนล่ะที่กันในแต่ล่ะเดือนรูปที่ 3 (รูปนี้)เป็นตอน ประมาณเดือน กุมภาพันธ์ประมาณ กลางๆเดือนเป็นข้างซ้าย แล้วพอมาเดือน มีนาแผลใหม่ก็ไปเป็นทางด้านขวาลักษณะคล้ายๆ กันเป็นแบบในรูปครับ ขอโทษคุณหมอด้วยครับที่ตั้งกระทู้ถาม อาจทำให้เกิดความสับสน ผมพยายามให้ข้อมูลให้มากที่สุดขอบคุณครับคุณหมอ |
Anonymous |
14 พฤษภาคม 2559 16:09:46 #3 อาการเพิ่มเติม (ภาพแรกบนสุด) -แผลมีเลือดออก -เจ็บ ปวดแผล ปวดร้าวไปถึงหูข้างซ้าย(เจ็บหูเวลากลืนน้ำลาย รู้สึกปวดหูนิดๆอยู่ตลอดเวลา)แผลในปากเป็นข้างซ้ายของลิ้นไก่
|
พ.อ.นพ.ณฐพล จันทรอัมพร(แพทย์ หู คอ จมูก) |
18 พฤษภาคม 2559 04:26:49 #4 ฟังที่เล่าน่าจะเป็นแผลร้อนใน https://youtu.be/bAbcT1t2YfU |
Anonymous |
19 พฤษภาคม 2559 17:29:05 #5 ขอบคุณมากครับคุณหมอ |


Anonymous